








Casi invisibles: Nadie notará que los llevas.
Removibles: Come lo que quieras sin restricciones.
Rápidos: Tratamientos de 3-18 meses, con resultados desde el primer mes.
Cómodos: Hechos a medida con escáner 3D, sin alambres que irriten.
Saludables: Mejora mordida, previene desgaste y problemas de encías.


Agenda tu primera consulta gratuita desde el botón «reservar hora». Analizaremos tu caso y aclararemos todas tus dudas en una primera cita con un especialista en ortodoncia.

Diseñaremos un plan de tratamiento y simulación 3D con la tecnología más innovadora, lo que te permitirá ver cómo se irán moviendo tus dientes en todo el proceso y como será el resultado final.
Recibe tu kit de alineadores hechos a medida para lograr los resultados que esperas. Sigue las recomendaciones de tu especialista y haz tus controles para garantizar el mejor resultado.

Desde $400.000 hasta $15.000.000
Paga hasta en 48 Cuotas
Simulación online y evaluación inmediata
Sin utilizar el cupo de tus tarjetas
Ahora con nuestros aliados b21 podemos apoyarte con financiamiento para tus tratamientos dentales 🦷









"Loved everything so far"
"Testimonial lorem ipsum dolor sit amet, consectetur adipisicing elit. Autem dolore, alias, numquam enim dolor elit."
- Your Name


"My life changed forever"
"Testimonial lorem ipsum dolor sit amet, consectetur adipisicing elit. Autem dolore, alias, numquam enim dolor elit."
- Your Name


"Highly recommend this"
"Testimonial lorem ipsum dolor sit amet, consectetur adipisicing elit. Autem dolore, alias, numquam enim dolor elit."
- Your Name

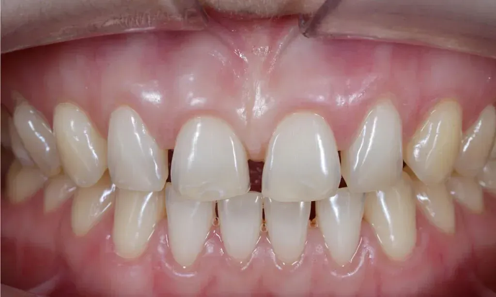
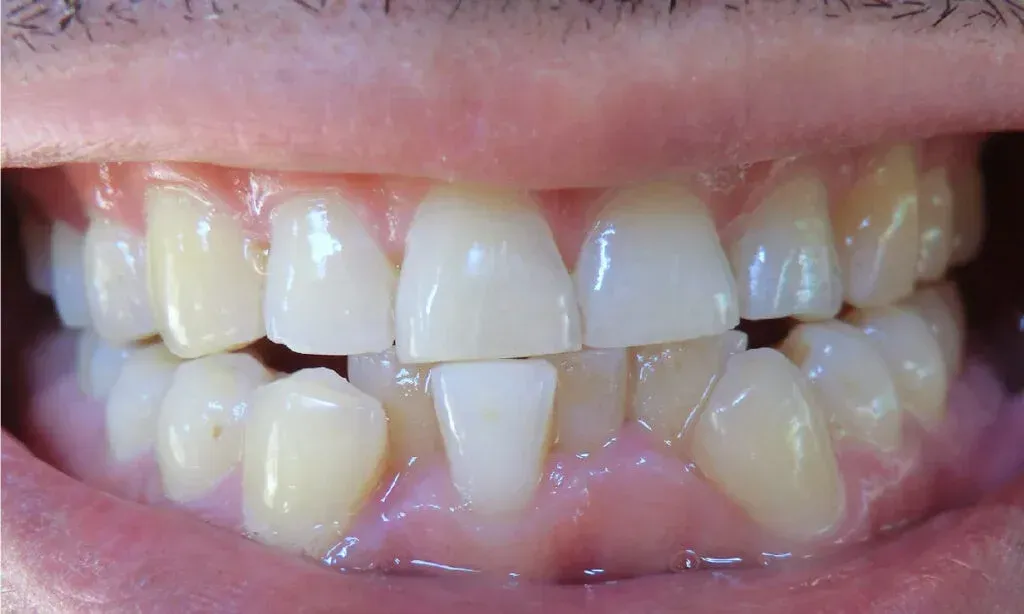
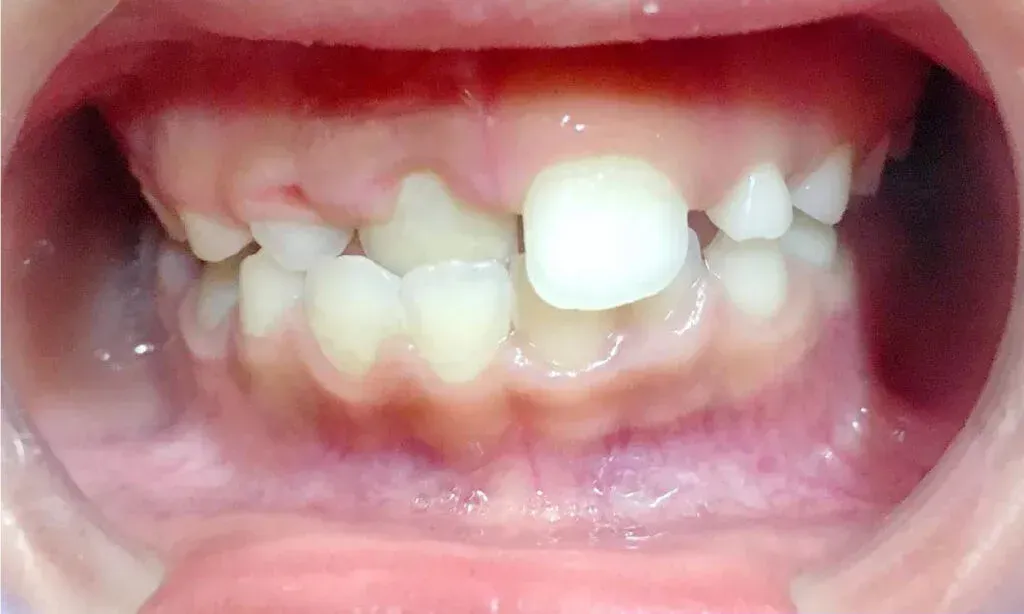
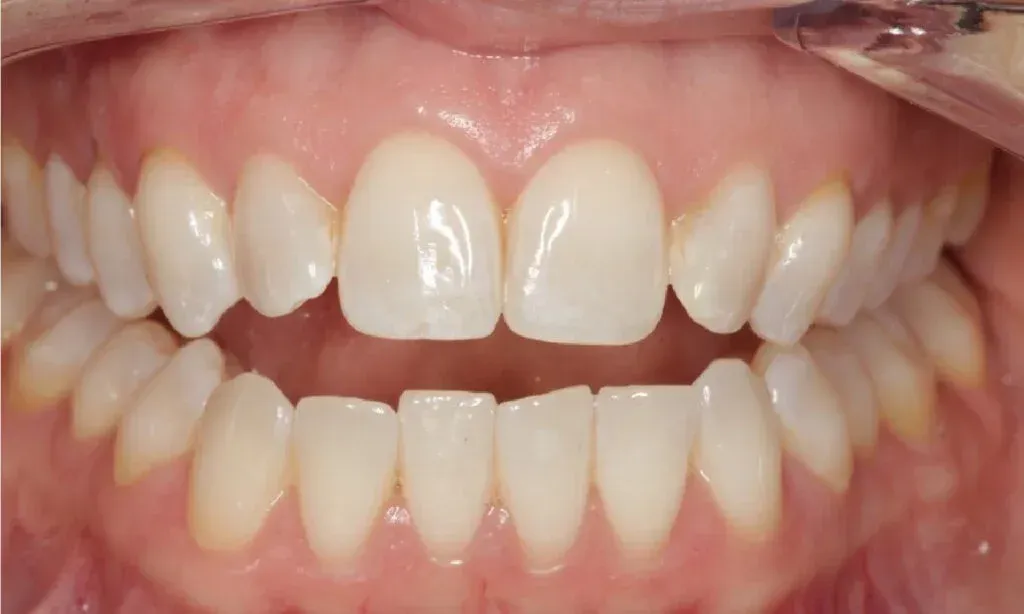
Somos expertos en corregir problemas ortodóncicos, como: apiñamiento dental, dientes separados, mordida cruzada, mordida profunda y otros problemas de maloclusión. Resuelve todas tus dudas sobre el tratamiento.
Los alineadores invisibles son una alternativa a los brackets y alambre tradicionales utilizados en ortodoncia. Están hechos de material transparente y se ajustan perfectamente a los dientes del paciente para corregir la posición de los dientes.
El tratamiento con ortodoncia invisible generalmente dura entre 3 a 18 meses, pero el tiempo exacto varía dependiendo de la complejidad del caso.
Puedes comer cualquier alimento, siempre y cuando te quites los alineadores antes de comer. Evita masticar chicle y fumar mientras los llevas puestos.
La posibilidad de usar ortodoncia invisible depende de varios factores, entre ellos la naturaleza y gravedad de tu problema dental. Por lo general, es adecuada para corregir problemas leves a moderados de alineación dental. El paso más seguro es programar una consulta con un especialista, quien puede evaluar tu caso individualmente.
Dependiendo del caso, puedes ser aún candidato para la ortodoncia invisible. Sin embargo, es importante hablar con tu dentista acerca de tus implantes o coronas para determinar la mejor opción de tratamiento.

Av. Apoquindo 6314 Of. 1204, Las Condes.
2022 Odontoestetica.cl ® Derechos reservados